Companies / Amerigo Scientific

Amerigo Scientific

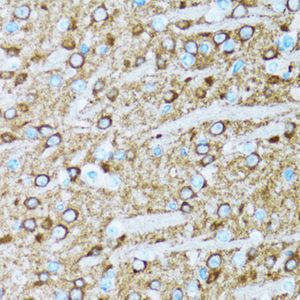
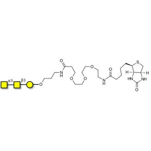
Amerigo Scientific is a distribution company focused on providing critical products and services to the biomedical and life science research communities. Although a new company, Amerigo Scientific's founder has had more than 20 years of rich experience...

Read More

  • See More